当前位置:肿瘤瞭望>资讯>正文

优例共赏丨一例HER2阳性乳腺癌术前新辅助的病例分享

作者:肿瘤瞭望   日期:2022/12/15 11:29:28  浏览量:8153

肿瘤瞭望版权所有,谢绝任何形式转载,侵犯版权者必予法律追究。

HER2阳性乳腺癌侵袭性强、复发率高、预后不良。曲妥珠单抗及帕妥珠单抗的问世极大的改善了HER2阳性乳腺癌患者的预后和生存。

▌病例作者:陶德友台州恩泽医疗中心(集团)恩泽医院
▌点评专家:曹飞麟台州医院乳腺甲状腺外科

摘要:HER2阳性乳腺癌侵袭性强、复发率高、预后不良。曲妥珠单抗及帕妥珠单抗的问世极大的改善了HER2阳性乳腺癌患者的预后和生存。汉曲优®作为国内首个上市的曲妥珠单抗生物类似药,疗效等同于原研曲妥珠单抗。本文通过一例HER2阳性乳腺癌行新辅助治疗(TCbHP)的患者,探讨HER2阳性乳腺癌患者新辅助治疗给予多西他赛+卡铂+汉曲优+帕妥珠单抗的疗效以及安全性观察。(注:本文中汉曲优为复宏汉霖研发生产的曲妥珠单抗)
 
病史简介
 
患者:女,53岁。
 
主诉:发现左乳肿块1年,于2021.6.9收住入院。
 
婚育月经史:已婚,G1P1,末次月经2018-08-18。
 
既往史:无高血压、糖尿病等慢性病史。
 
家族史:否认肿瘤家族史。
 
查体:双侧乳腺大小对称,无乳头内陷,左乳外上象限可及一个5*3cm大小肿块,边界欠清,表面尚光滑,活动差,无压痛,局部皮肤无红肿,无酒窝征及鸡皮样改变,无乳头溢液,左腋下可及一枚肿大淋巴结约1.5*1.0cm,质地偏硬,可移动。右乳未及明显异常。锁骨上未及肿大淋巴结。
 
▌影像学检查
 
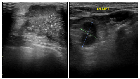
2021-6-9乳腺及腋窝淋巴结超声:左侧乳腺外上象限见大小约45*21mm低回声团块,边界不清,形态不规则,肿块前缘达皮肤层,内回声不均匀,内见多枚杂乱强光点,可见血流信号,测其动脉血流RI0.76。余双侧乳腺腺体形态、结构未见异常。左侧腋窝见多枚低回声结节,边界清,形态饱满,有包膜,内见多发强光点,较大者约13*10mm,内可见血流信号。右侧腋窝未见肿大淋巴结回声。
 
影像诊断:左侧乳腺低回声团块(BI-RADS:5类,考虑浸润性Ca);左侧腋窝多发异常肿大淋巴结。
 
图1.乳腺B超(2021-6-9)
 
2021.6.9乳腺钼靶片提示:两侧乳腺呈不均匀致密型(ACRc),双乳腺体组织呈弥漫类结节改变。左乳外上象限见一分叶状肿块,边缘少许毛刺,大小约4.5cm×3.5cm,内见成簇细沙样钙化影,邻近皮下脂肪层见条索状密度增高、相应皮肤增厚,相应的乳后间隙部分显示欠清晰。右乳内未见明显异常密度结节或肿块形成,右乳内未见钙化灶。两侧腋下多发淋巴结显示(左腋下较多),双侧胸大肌未见异常,右乳皮肤、皮下、乳头、乳晕未见异常。
 
影像诊断:左乳外上象限占位(BI-RADS 5类),建议进一步检查;右侧乳腺增生(BI-RADS 1类);左侧腋下多发淋巴结显示。
 
图2.乳腺钼靶片(2021-6-9)
 
2021-6-10胸部CT提示胸廓对称,气管居中;右肺两枚实性结节(Se5 Im55/133),较大者位于右肺上叶Im55,其长径约5mm,左肺下叶见一实性结节(薄层Se5 Im75),长径约3mm,小叶间隔未见明显增厚,气管、支气管未见狭窄和扩张,两肺门结构清晰,肺门和纵隔内未见明显肿大淋巴结影;心脏、大血管未见明显异常;两侧胸腔未见积液影。前纵隔见结节影(Se5 Im69),长径约10mm。左侧腋下见多发淋巴结影。
 
影像诊断:两肺多发微小结节,复查;前纵隔小结节;左侧腋下淋巴结显示。
 
附见:左乳占位伴钙化;右侧甲状腺结节;左肾低密度灶、右肾钙化灶,右侧多发肋骨陈旧骨折。
 
2021-6-12头颅磁共振提示左枕部颅板下(IM15)见结节状异常信号,呈T1WI低信号T2WI高信号、T2Flair低信号改变,直径约1.9cm,边界清,脑灰白质分布正常、界面清晰,脑实质内未见异常信号灶,脑室系统形态信号未见异常,脑池脑沟未见增宽,中线结构居中。所示颅底结构完整。
 
影像诊断:左枕部颅板下异常信号结节,蛛网膜囊肿?建议复查。
 
2021-6-15骨ECT提示静脉注射骨显像剂(99mTc-MDP)20mCi 2小时后,取前位、后位全身骨骼平面显像。见右侧第10~12后肋点状显像剂分布增加,其余各骨显影清晰,未见明显异常显像剂浓聚区。
 
影像诊断:右侧第10~12后肋点状骨代谢活跃灶,结合临床首先考虑外伤所致,建议进一步检查或者定期复查。
 
▌肿瘤基本病理
 
2021-6-10行左乳腺肿块空芯针穿刺+左腋下淋巴结细针穿刺。
 
2021.6.11左腋下淋巴结细针穿刺病理:左腋下淋巴结找到癌细胞。
 
2021.6.15左乳腺空芯针穿刺病理:左乳腺肿块穿刺活检提示:浸润性癌。
 
肿瘤分子病理:2021.6.17左乳腺肿块免疫组化:ER(-),PR(-),HER2(3+),Ki-67(60%+),CK5/6(局灶+)。
 
▌诊断
 
左乳腺癌伴左腋下淋巴结癌转移(cT2N1M0ⅡB期,HER2阳性(HR阴性))
 
治疗经过
 
2021.6.19第一次新辅助治疗:多西他赛100mg+卡铂540mg+汉曲优360mg+帕妥珠单抗840mg。给予粒细胞刺激因子一级预防、三联止吐方案,经过顺利。
 
2021.7.10第二次新辅助治疗:多西他赛100mg+卡铂540mg+汉曲优270mg+帕妥珠单抗420mg。给予粒细胞刺激因子一级预防、三联止吐方案,经过顺利。
 
2021-7-31、2021-8-21、2021-9-11、2021-10-3分别给予:多西他赛100mg+卡铂540mg+汉曲优270mg+帕妥珠单抗420mg。给予粒细胞刺激因子一级预防、三联止吐方案,经过顺利。
 
治疗后评价:
 
2021-7-29乳腺B超提示:左侧乳腺1-2点钟A环内见大小约21*22*8mm低回声区,边界不清,内见散在强光点,周边可见血流信号。余双侧乳腺腺体形态、结构未见异常。
 
左侧腋窝见多枚低回声结节,边界清,形态饱满,有包膜,较大者约16*7mm,内可见血流信号。右侧腋窝见多发低回声结节,边界清,有包膜,较大者约10*4mm,血流信号不明显。
 
影像诊断:左侧乳腺低回声区(BI-RADS:6类);左侧腋窝淋巴结偏大。
 
图3.乳腺B超(2021-7-29)
 
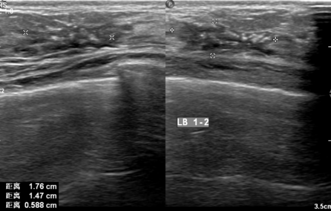
2021.9.9乳腺B超提示:左侧乳腺1-2点钟A环内见大小约18*15*6mm低回声区,边界不清,内见散在强光点,周边可见血流信号。余双侧乳腺腺体形态、结构未见异常。
 
两侧腋窝可见多枚低回声结节,边界清,有包膜,左侧较大者约9*5mm,右侧较大者约10*4mm,血流信号不明显。
 
影像诊断:左侧乳腺低回声区(BI-RADS:6类);两侧腋窝多枚淋巴结显示。
 
图4.乳腺B超(2021-9-9)
 
2021.10.22行“左乳腺癌改良根治术”。
 
术后病理结果:1、瘤床大小1.6*1.2*0.6 cm;2、未见肿瘤残留,瘤床间质纤维化、泡沫细胞聚集、点状钙化;3、Miller-Payne分级系统:5级(无浸润性癌成份);4、脉管侵犯(-)、乳头(-)、皮肤(-)、基底(-)、内上象限(-)、内下象限(-)、外上象限(-);5、腋窝淋巴结10枚均呈反应性增生,其中3枚有化疗后改变。
 
术后病理分期:ypT0N0M0;病理评估结果为病理完全缓解(pCR)。
 
后续治疗方案:
 
术后继续汉曲优270mg+帕妥珠单抗420mg三周方案维持至一年+放疗。
 
▌病例小结
 
该例患者为HER2阳性乳腺癌,术前临床分期为:cT2N1M0ⅡB期,HER2阳性(HR阴性)。根据2022 CSCO乳腺癌诊疗指南,新辅助治疗适应症:符合腋窝淋巴结转移/HER2阳性,因此有新辅助治疗指征。KRISTINE研究证明TCbHP方案在新辅助治疗中的有效性和安全性,TRAIN-2研究显示与含葱环方案相比,TCbHP方案可以获得相同的pCR率,但在中性粒细胞减少等毒性反应上明显更低。因此,对于此例HER2阳性乳腺癌,结合指南我们选择TCbHP(T:多西他赛/Cb:卡铂/H:曲妥珠单抗/P:帕妥珠单抗)方案治疗。
 
2021.6.19第一次新辅助治疗:多西他赛100mg+卡铂540mg+汉曲优360mg+帕妥珠单抗840mg。给予粒细胞刺激因子一级预防、三联止吐方案,经过顺利。第二次到第六次新辅助治疗:多西他赛100mg+卡铂540mg+汉曲优270mg+帕妥珠单抗420mg。每两周期评估新辅助疗效,6周期化疗结束后,经影像学评估乳腺病灶和腋下肿大淋巴结缩小,疗效评估PR。于2021.10.22行“左乳腺癌改良根治术”,术后病理诊断提示:新辅助治疗后见瘤床约1.6*1.2*0.6cm,未见肿瘤残留,组织学分级:Miller-Payne分级系统:5级,腋窝淋巴结10枚反应性增生,其中3枚有化疗后改变。因此,经过六疗程的TCbHP治疗后,达到了乳腺病灶和腋下淋巴结tpCR。说明汉曲优疗效等同于原研曲妥珠单抗,安全性相似,可以放心使用。根据新辅助治疗后HER2阳性患者疗效达pCR,因此继续给予双靶治疗维持治疗至一年+放疗。
 
专家点评
 
新辅助治疗已经成为当前乳腺癌综合治疗中非常重要的组成部分,针对淋巴结阳性或淋巴结阴性伴高危因素的HER2阳性乳腺癌患者,可以优选新辅助治疗。在临床实践当中,我们一般不推荐采用“较弱”方案作为初始方案以筛选敏感人群,而推荐采用循证医学证据提示最强、最有效的方案作为新辅助治疗的初选方案。
 
对于HER2阳性早期乳腺癌的系统治疗,从化疗到曲妥珠单抗单靶再到曲妥珠单抗联合帕妥珠单抗的双靶方案,抗HER2治疗不断升级。“妥妥双靶”方案用于新辅助治疗,不仅可以显著提高患者pCR,实现降期保乳,降期保腋窝,还可以降低患者复发风险,为患者带来长期获益。KRISTINE研究[1]证明TCbHP方案在新辅助治疗中的有效性和安全性,TRAIN-2研究[2]显示与含蒽环方案相比,TCbHP方案可以获得相同的pCR率,但在中性粒细胞减少等毒性反应上明显更低。因此,2022 CSCO乳腺癌诊疗指南以及2021 CBCS乳腺癌诊疗指南与规范均将TCbHP方案作为首先方案。
 
生物类似药是指在质量、安全性和有效性方面与已获准注册的参照药(主要为原研药)具有相似性的治疗用生物制品。汉曲优是复宏汉霖研发的首个中国、欧盟获批上市的曲妥珠单抗生物类似药,其全球多中心Ⅲ期临床研究结果显示,汉曲优组和原研组3年OS率分别为57.5%vs 54.0%,无显著统计学差异(P>0.05),证明汉曲优与原研曲妥珠单抗疗效等效,安全性相似[3]。本案例中采用的曲妥珠单抗即为汉曲优,采用靶向联合化疗方案治疗,完成了TCbHP治疗6个周期,术后病理达pCR。治疗期间汉曲优与帕妥珠单抗联合治疗患者耐受性良好,未出现与靶向药物相关的不良反应。结合汉曲优注册临床研究的结果,又一次说明生物类似药与原研产品疗效无显著差别,安全性良好。
 
▌参考文献
 
[1]VAN RAMSHORST MS,VAN DER VOORT A,VAN WERKHOVEN ED,et al.Neoadjuvant che-motherapy with or without anthracyclines in the presence of dual HER2 blockade for HER2-positive breast cancer(TRAIN-2):a multicentre,open-label,randomised,phase 3 trial[J].Lancet Oncol,2018.19(12):1630-1640.
 
[2]HURVITZ SA,MARTIN M,JUNG KH,et al.Neoadjuvant trastuzumab emtansine and pertuzumab in human epidermal growth factor receptor 2-positive breast cancer:three-year outcomes from the phase III KRISTINE Study[J].J Clin Oncol,2019,37(25):2206-2216.
 
[3]XU B,ZHANG Q,SUN T,et al.Efficacy,Safety,and Immunogenicity of HLX02 Compared with Reference Trastuzumab in Patients with Recurrent or Metastatic HER2-Positive Breast Cancer:A Randomized Phase III Equivalence Trial[J].BioDrugs,2021.
 
病例作者简介
陶德友
恩泽医院甲乳外科主任医师
台州市肿瘤学分会委员
台州市肿瘤外科学分会委员
中国老年保健医学研究会浙江省肿瘤分会委员
浙江省抗癌协会肿瘤心理专委会委员
 
点评专家简介
曹飞麟教授
主任医师、硕士生导师
台州医院乳腺甲状腺外科科主任
中国抗癌协会乳腺癌专业委员会委员
中国医师协会外科学分会甲状腺外科委员会委员
中国医药教育协会乳腺疾病专业委员会常委
浙江省抗癌协会乳腺癌专业委员会副主任委员
浙江省肿瘤诊治质控中心乳腺癌专委会副主任委员
中国医教协会乳腺疾病专委会浙江分会副主任委员
浙江省数理医学学会循证医学专委会副主任委员
浙江省台州市医学会肿瘤外科分会主任委员

本内容仅供医学专业人士参考


乳腺癌

分享到: 更多