当前位置:肿瘤瞭望>资讯>正文

优例共赏丨一例复合型小细胞肺癌患者应用斯鲁利单抗治疗案例分享

作者:肿瘤瞭望   日期:2022/11/24 13:23:49  浏览量:8290

肿瘤瞭望版权所有,谢绝任何形式转载,侵犯版权者必予法律追究。

复合型小细胞肺癌(combined small cell lung cancer,C-SCLC)是指SCLC与其他病理成分混合,其他成分可以是一种或多种的肺癌亚型

▌病例作者:重庆大学附属三峡医院莫小飞
▌点评作者:重庆大学附属三峡医院任必勇
 
摘要:复合型小细胞肺癌(combined small cell lung cancer,C-SCLC)是指SCLC与其他病理成分混合,其他成分可以是一种或多种的肺癌亚型[1],其中NSCLC成分可以为鳞状细胞癌、腺癌、大细胞神经内分泌肿瘤、梭形细胞癌、巨细胞癌等,以SCLC复合鳞癌最为多见[2]。C-SCLC约占所有SCLC患者5%~20%,预后差[3]。目前,C-SCLC治疗原则主要采用SCLC的治疗模式,强调综合治疗。近年,随着PD-1和PD-L1等多种免疫检查点抑制剂(Immune checkpoint inhibitors,ICIs)相继应用于临床,免疫联合化疗已在小细胞肺癌中初现成效并成为广泛期SCLC患者标准一线治疗选择[4,5],但总生存的改善有限。斯鲁利单抗作为上海复宏汉霖首款自主研发的创新生物药PD-1抑制剂,其疗效在多个瘤种中得到验证,其中在小细胞肺癌中的研究数据表明斯鲁利单抗联合化疗对比化疗组总生存达到15.4个月vs 10.9个月,风险比为0.63[6]。本文通过分享一例使用斯鲁利单抗联合化疗治疗小细胞癌与鳞癌混合的C-SCLC患者的病例,来探讨免疫治疗在C-SCLC中的应用与药物选择。
 
病例作者
莫小飞
重庆大学附属三峡医院肿瘤科主治医师
肿瘤学硕士在读,主要从事肺癌的临床诊疗工作
 
病例介绍
 
患者:男性,66岁。
 
主诉:咳嗽、咳痰1月。
 
既往史:否认高血压、糖尿病史。
 
个人史:吸烟史30余年,30支/日,未戒烟。
 
家族史:否认肿瘤家族史,否认遗传病史,否认传染病史。
 
查体:PS评分1分,全身浅表淋巴结未触及肿大,左肺呼吸音稍低,双肺呼吸音粗,未闻及干湿啰音;头部、心脏、腹部、四肢及神经系统:(-)。
 
▌辅助检查
 
肿瘤标志物(2022-05-30):NSE 59.11ng/ml,CYFRA21-1 2.18ng/ml。
 
胸部增强CT(2022-05-17):考虑肿瘤性病变伴阻塞性炎症(左肺下叶背段支气管阻塞,肺门处见软组织团块影,呈分叶状,大小约9.8cm×4.6cm,包绕邻近血管);肿块旁多发小结节,子灶?左肺门及纵隔多发转移瘤。
 
图1.胸部增强CT
 
电子支气管镜检(2022-05-17):可见左主支气管粘膜充血,管腔变形,略显狭窄;左上尖段支气管粘膜肿胀,左下背段支气管被菜花样肿物完全阻塞。
 
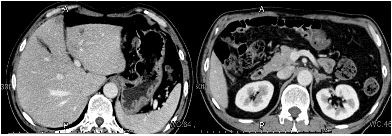
全腹部增强CT(2022-05-30):1、左侧肾上腺结节,较大者直径约1.3cm,增强呈不均匀强化,结合病史,不除外转移瘤可能。2、肝脏左叶低密度影,增强边缘可疑强化,转移?
 
图2.全腹增强CT
 
颅脑MRI(2022-05-31)及全身骨显像(2022-06-01):未见确切占位性病变。
 
电子支气管镜活检病理结果(2022-05-16):(左下背段肿物)癌,结合免疫表型考虑小细胞癌合并鳞状细胞癌。支刷查见异型细胞,可疑癌细胞;灌洗液抗酸杆菌阴性,x-pert结果阴性。
 
图3.HE染色
 
免疫组化(2022-05-26):CK(+),CK5/6(+),P40(部分+),P53(-),P63(+),TTF-1(-),CK7(-),CD56(+),CgA(-),Syn(灶弱+),Ki-67(60%+)。
 
▌诊断
 
1.左肺恶性肿瘤(小细胞癌与鳞癌复合型cT4N3M1c,IVB期);
 
2.左肺门淋巴结继发恶性肿瘤;
 
3.纵隔淋巴结继发恶性肿瘤;
 
4.左肾上腺继发性恶性肿瘤;
 
5.肝继发恶性肿瘤;
 
6.双肺继发性恶性肿瘤?
 
▌治疗经过
 
一线治疗:
 
2022-06-03行第1周期免疫联合化疗,具体方案为:斯鲁利单抗300mg d1+依托泊苷150mg d1-3+卡铂450mg d1。
 
一线疗效评价:
 
复查增强CT(2022-06-29):1.左肺上下叶见不规则形团块影(8.45cm×5.7cm);考虑肿瘤性病变伴阻塞性炎症;肿块旁多发小结节,子灶?左肺门及纵隔多发转移瘤。2.肝脏多发低密度结节影,较大者直径约1.1cm,增强不均匀强化。3.左侧肾上腺结节状增粗、不均匀强化,转移瘤可能。4.左肺下叶点状钙化灶。
 
第1周期治疗后疗效评估结果:SD。
 
考虑患者获益不明显,换用二线治疗。
 
二线治疗:
 
2022-07-01、07-26、08-29、09-26行4周期免疫联合化疗,具体方案为:斯鲁利单抗300mg d1+白蛋白紫杉醇460mg d1+卡铂500mg d1。
 
2022-10-24至今:行肺部及纵隔淋巴结病灶VMAT放疗(GTV 66Gy/2.2Gy/30f;GTVnd 66Gy/2.2Gy/30f);左肾上腺病灶dMLC放疗(CTV51Gy/3.0Gy/17f)。
 
二线疗效评价:
 
患者应用斯鲁利单抗联合化疗治疗后,咳嗽、咳痰症状逐渐好转;患者精神、食欲、睡眠等一般情况明显改善,体重增加。
 
肿瘤标志物:
 
图4.治疗期间NSE变化
 
影像学检查:
 
二线治疗第1周期后复查增强CT(2022-07-25):与2022-06-29CT对比:1.左肺上下叶肿瘤性病变(较大截面大小约5.9cm×4.5cm)伴阻塞性炎症,病灶较前缩小;肿块旁多发小结节,考虑转移灶,较前缩小;左肺门及纵隔多发转移瘤,较前缩小。2.右肺上叶及双肺下叶点状影,左肺下叶点状钙化灶。与2022-05-30CT对比:1.左侧肾上腺结节(较大者直径约1.0cm)考虑转移,病灶较前缩小。2.原片所示肝内转移灶本次检查显示欠清晰。
 
二线治疗第1周期后疗效评估结果:PR。
 
二线治疗第3周期后复查增强CT(2022-09-25):与2022-07-25CT对比:左肺上下叶肿瘤性病变伴阻塞性炎症(较大截面大小约5.1cm×3.2cm),肿块较前大致相仿,周围炎症较前略有吸收、减少;左肺门及纵隔多发淋巴结转移,部分较前略显缩小。与2022-07-25CT对比:1.左侧肾上腺肿块(最大横截面约3.4×2.1cm),较前增大,考虑肾上腺转移。2.肝右叶小囊肿可能。
 
二线治疗第3周期后疗效评估结果:肺部及纵隔淋巴结病灶为PR;肝脏病灶为CR;左肾上腺病灶为PD;总体疗效评价为PR。
 
图5.基线及治疗期间胸腹部CT
 
▌病例小结
 
图6.治疗时间轴
 
该例患者为小细胞癌与鳞癌复合型C-SCLC,初诊伴左肾上腺转移、肝转移,预后差,治疗选择少。该患者一线使用斯鲁利单抗联合依托泊苷+卡铂化疗方案进行治疗1周期后,影像学显示肺部病灶退缩不明显。考虑患者合并鳞癌成分,可能对于EC方案不敏感,因此换用二线治疗方案。经1周期斯鲁利单抗联合白蛋白紫杉醇+卡铂治疗后,患者咳嗽、咳痰症状好转,肿瘤NSE标志物明显下降,影像学提示肺部病灶出现明显退缩,且肝脏转移瘤及左侧肾上腺病灶均较前缩小,疗效达PR。患者使用斯鲁利单抗联合白蛋白紫杉醇+卡铂方案治疗3周期后,影像学检查提示肺部及纵隔淋巴结病灶疗效持续PR,肝脏病灶疗效达CR,仅左肾上腺病灶有PD征象。目前患者正在接受局部放疗,以期进一步提高肿瘤局部控制率。患者治疗期间未出现不可控irAE,安全性好。
 
点评专家
任必勇教授
主任医师,肿瘤学硕士
重庆大学附属三峡医院肿瘤科肿瘤呼吸病区
中国临床肿瘤学会(CSCO)患者教育专家委员会委员
中国中药协会肿瘤药物研究专业委员会委员
重庆抗癌协会理事
重庆抗癌协会肿瘤放疗专委会副主任委员
重庆抗癌协会肿瘤分子靶向治疗专委会副主任委员
重庆市中西医结合学会放疗专委会副主任委员
重庆市中西医结合学会免疫治疗专委会副主任委员
重庆市医院协会肿瘤学管理专委会副主任委员
重庆市医药生物技术协会肿瘤分子靶向治疗专业委员会副主任委员
华人肿瘤放射治疗协作组放射免疫工作委员会重庆分会副主任委员重庆抗癌协会肺癌专委会常务委员
重庆抗癌协会化疗专委会常务委员
重庆抗癌协会癌症康复与姑息治疗专委会常务委员
重庆抗癌协会肿瘤精准治疗专委会常务委员
重庆市中西医结合学会肿瘤介入微创治疗专委会常务委员
重庆市医学会肿瘤放射治疗学专委会委员
重庆大学附属三峡医院GCP伦理委员会主任委员
 
病例点评
 
C-SCLC是SCLC中的一类少见的肺癌亚型,约占所有SCLC 5%~20%,预后差[3]。针对C-SCLC的治疗,绝大多数研究数据为小样本回顾性分析或个案报道,至今尚缺乏大样本前瞻性随机对照临床研究数据。在临床实践中,C-SCLC的治疗原则主要参考SCLC的诊疗指南,采用SCLC的治疗模式,缺乏更为具体的治疗策略。另外,在临床实践中C-SCLC化疗敏感性较P-SCLC低[2]。免疫治疗已在广泛期SCLC治疗中取得突破,2022年ASCO大会口头报告的ASTRUM-005研究大放异彩。ASTRUM-005研究[6]于2022年9月27日荣登国际医学顶级期刊JAMA发表,斯鲁利单抗联合EC方案治疗ES-SCLC患者的中位OS达到15.4个月,较对照组显著提升4.5个月,在PFS(5.7 vs 4.3个月)及ORR(80.2%vs 70.4%)方面也有显著获益,且安全性良好。斯鲁利单抗已经进入了2022年CSCO小细胞肺癌诊疗指南的推荐目录,并成为全球首个在ES-SCLC一线治疗取得阳性结果的PD-1抑制剂。免疫治疗带给P-SCLC患者生存获益已得到证实。近期,全球多中心研究ASTRUM-004的主要终点PFS已取得阳性结果,斯鲁利单抗合卡铂和白蛋白紫杉醇已获得国家药品监督管理局(NMPA)批准用于一线治疗不可手术切除的局部晚期或转移性鳞状非小细胞肺癌(sqNSCLC),斯鲁利单抗对于含鳞癌成分的C-SCLC患者的治疗有很高的探索价值。
 
该病例为老年吸烟男性,病理类型包含SCLC和sqNSCLC两种不同成分,属于广泛期C-SCLC。根据《2022年CSCO小细胞肺癌诊疗指南》推荐,广泛期C-SCLC的治疗方案可参照SCLC,患者一线治疗给予斯鲁利单抗+EC方案,第一周期治疗后影像学提示肺部病灶退缩不明显,疗效达SD。考虑可能由于C-SCLC中混合的sqNSCLC成分,导致患者对SCLC常规EC方案的敏感性不高,因此进入二线治疗,继续应用斯鲁利单抗免疫治疗,将化疗方案调整为白蛋白紫杉醇+卡铂。调整方案后,患者症状缓解明显,且肿瘤标志物NSE较前明显降低,影像学检查显示全身病灶均出现明显退缩,疗效达PR。患者在斯鲁利单抗联合化疗治疗期间并未发生明显irAE。局部放疗在C-SCLC应用的研究鲜有报道,考虑SCLC对放疗敏感,针对该病例给予了放疗。目前患者病情平稳,无明显不良反应发生。该病例充分证实了斯鲁利单抗在C-SCLC患者中的良好疗效及可耐受的安全性,显示了斯鲁利单抗在肺癌患者中的广阔应用前景。同时,此病例也提示我们,在临床实践中,需结合C-SCLC患者不同病理类型,制订个性化的治疗策略。
 
▌参考文献
 
1.Maria Gabriela Raso,et al.Pathology and Classification of SCLC.Cancers(Basel).2021 Feb 16;13(4):820.
 
2.Yong Dong,et al.Whole-Process Treatment of Combined Small Cell Lung Cancer Initially Diagnosed as"Lung Squamous Cell Carcinoma":A Case Report and Review of the Literature.Front Immunol.2022 Mar 2;13:831698.
 
3.Lan Yang,et al.Clinical features and prognostic factors of combined small cell lung cancer:development and validation of a nomogram based on the SEER database.Transl Lung Cancer Res.2021 Nov;10(11):4250-4265.
 
4.Liu SV,et al.Updated Overall Survival and PD-L1 Subgroup Analysis of Patients With Extensive-Stage Small-Cell Lung Cancer Treated With Atezolizumab,Carboplatin,and Etoposide(IMpower133).J Clin Oncol.2021 Feb 20;39(6):619-630.
 
5.Paz-Ares L,et al.Durvalumab,with or without tremelimumab,plus platinum-etoposide in first-line treatment of extensive-stage small-cell lung cancer:3-year overall survival update from CASPIAN.ESMO Open.2022 Apr;7(2):100408.
 
6.Ying Cheng,et al.Effect of First-Line Serplulimab vs Placebo Added to Chemotherapy on Survival in Patients With Extensive-Stage Small Cell Lung Cancer:The ASTRUM-005 Randomized Clinical Trial.JAMA.2022 Sep 27;328(12):1223-1232.

本内容仅供医学专业人士参考


小细胞肺癌

分享到: 更多